Невринома (вестибулярна шваннома)
Невринома (вестибулярна шваннома) є однією з найбільш поширених доброякісних пухлин основи черепа. За даними клінічних спостережень, такі пухлини становлять близько 6-8% усіх внутрішньочерепних новоутворень і до 80-90% пухлин мостомозочкового кута. Найчастіше захворювання діагностується у пацієнтів віком 30-60 років, хоча може виникати і в молодшому віці. У клінічній практиці невринома розвивається поступово, тому перші симптоми часто залишаються непоміченими. Поступове зниження слуху, шум у вусі або порушення рівноваги пацієнти нерідко пов’язують із перевтомою або віковими змінами. Саме тому захворювання часто виявляється вже на етапі, коли пухлина починає впливати на сусідні нервові структури.

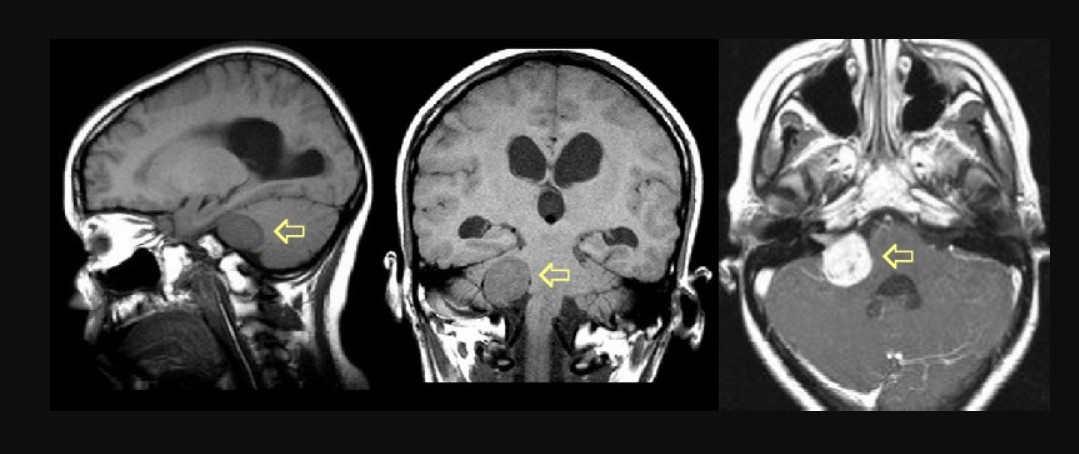
Невринома (вестибулярна шваннома) - це доброякісна пухлина, що формується з клітин шваннівської оболонки вестибулярної частини переддверно-завиткового нерва. Пухлина зазвичай росте повільно, але може поступово здавлювати слуховий нерв, стовбур мозку та інші структури мостомозочкового кута.
становить приблизно 6-8% усіх внутрішньочерепних пухлин і до 80-90% пухлин мостомозочкового кута.
у пацієнтів віком 30-60 років, але може виникати і в молодшому віці.
однобічне зниження слуху, яке може поєднуватися з шумом у вусі.
порушення рівноваги, оніміння обличчя або слабкість мімічних м’язів через ураження черепних нервів.
магнітно-резонансна томографія з контрастуванням.
може включати динамічне спостереження, радіохірургію або мікрохірургічне видалення пухлини, залежно від її розміру та клінічної картини.
Думка експерта
У клінічній практиці невринома часто починається з малопомітних симптомів, які пацієнти тривалий час ігнорують. Поступове зниження слуху на одне вухо або стійкий шум у вусі нерідко розцінюються як наслідок перевтоми, вікових змін або перенесених запальних захворювань. Саме через це діагностика часто відбувається вже на етапі, коли пухлина досягає значних розмірів.
Збільшення невриноми призводить до поступової компресії переддверно-завиткового нерва та сусідніх структур мостомозочкового кута. Такий механізм пояснює прогресування симптомів - від ізольованого зниження слуху до порушення рівноваги, оніміння обличчя або слабкості мімічних м’язів.
Основний ризик пізньої діагностики полягає у тому, що велика пухлина складніше піддається лікуванню і підвищує ризик неврологічних ускладнень. Саме тому при стійкому однобічному зниженні слуху або хронічному шумі у вусі необхідно провести магнітно-резонансну томографію для виключення пухлини мостомозочкового кута.
.jpg)
Механізм розвитку невриноми
Невринома формується з клітин шваннівської оболонки, які утворюють ізоляційний шар навколо нервових волокон. У нормі ці клітини забезпечують проведення нервових імпульсів та захист нервових структур. При певних генетичних або спонтанних мутаціях шваннівські клітини починають неконтрольовано ділитися, що призводить до формування пухлинного вузла.
Найчастіше пухлина виникає у вестибулярній частині переддверно-завиткового нерва у ділянці внутрішнього слухового проходу. З ростом невринома поступово виходить за межі слухового каналу та поширюється у мостомозочковий кут - анатомічний простір між мозочком і стовбуром мозку.
Збільшення пухлини призводить до механічного здавлення нервових структур. Компресія слухового нерва викликає поступове зниження слуху, а ураження вестибулярної частини нерва призводить до порушення рівноваги та запаморочення.
При подальшому рості невринома може впливати на лицевий нерв, трійчастий нерв та стовбур мозку. Саме цей механізм пояснює появу оніміння обличчя, асиметрії мімічних м’язів або порушення координації при великих пухлинах.
У разі значного збільшення пухлина здатна викликати компресію стовбура мозку та порушення циркуляції ліквору, що може призводити до розвитку внутрішньочерепної гіпертензії.
Невринома (вестибулярна шваннома) - причини, симптоми та класифікація
Причини невриноми (вестибулярної шванноми)
Невринома (вестибулярна шваннома) виникає внаслідок неконтрольованого розмноження клітин шваннівської оболонки, які формують ізоляційний шар навколо нервових волокон переддверно-завиткового нерва. У більшості випадків пухлина формується спорадично, без очевидної зовнішньої причини. Ключовим механізмом розвитку вважається порушення роботи генів, що регулюють поділ клітин.
Найбільш відомим генетичним механізмом розвитку невриноми є мутація гена NF2, який відповідає за синтез білка мерліну. У нормі мерлін пригнічує надмірне розмноження клітин. Порушення функції цього білка призводить до того, що клітини шваннівської оболонки починають ділитися неконтрольовано, формуючи пухлинний вузол.
У клінічній практиці виділяють декілька факторів, які можуть підвищувати ризик розвитку невриноми.
- Спорадичні генетичні мутації. Більшість випадків невриноми виникає без спадкової схильності. У таких ситуаціях мутація відбувається локально у клітинах шваннівської оболонки і призводить до формування одиничної пухлини.
- Нейрофіброматоз II типу. Нейрофіброматоз II типу є спадковим генетичним захворюванням, при якому уражається ген NF2. Для цього стану характерна поява двобічних неврином переддверно-завиткового нерва та інших пухлин центральної нервової системи.
- Вік пацієнта. Невринома найчастіше діагностується у віці 30-60 років. Вважається, що з віком зростає ймовірність накопичення мутацій у клітинах нервової тканини.
- Ймовірний вплив іонізуючого випромінювання. У деяких клінічних дослідженнях описано зв’язок між променевим впливом на ділянку голови у дитячому віці та підвищеним ризиком розвитку пухлин нервової системи.
Важливо розуміти, що навіть за наявності факторів ризику невринома розвивається повільно. У багатьох випадках пухлина росте роками, перш ніж починає викликати клінічні прояви.
Симптоми невриноми (вестибулярної шванноми)
Симптоми невриноми виникають унаслідок компресії нервових структур мостомозочкового кута. Найчастіше клінічна картина формується поступово, оскільки пухлина росте повільно і тривалий час не викликає виражених порушень.
Найбільш ранні прояви пов’язані з ураженням переддверно-завиткового нерва, який відповідає за слух і рівновагу.
Одним із найбільш характерних симптомів є однобічне зниження слуху. Такий симптом виникає через поступове здавлення слухової частини нерва. Порушення слуху зазвичай розвивається повільно, але іноді може виникати раптово.
Шум у вусі (тинітус) є ще одним поширеним проявом невриноми. Цей симптом пов’язаний із порушенням передачі нервових імпульсів у слуховому нерві та виникає навіть при незначних розмірах пухлини.
Порушення рівноваги та запаморочення виникають через ураження вестибулярної частини переддверно-завиткового нерва. Через поступову адаптацію центральної нервової системи ці симптоми часто менш виражені, ніж можна очікувати при ураженні вестибулярного апарату.
При збільшенні пухлини можуть з’являтися симптоми ураження інших черепних нервів.
Оніміння або зниження чутливості обличчя виникає через компресію трійчастого нерва. Пацієнти можуть відчувати поколювання, зниження чутливості або дискомфорт у ділянці обличчя.
Слабкість мімічних м’язів з’являється при ураженні лицевого нерва. У тяжких випадках може виникати асиметрія обличчя або порушення міміки.
При великих розмірах пухлини можливі симптоми компресії стовбура мозку. До таких проявів належать порушення координації рухів, нестійкість під час ходьби, виражене запаморочення та головний біль.
Повна класифікація невриноми (вестибулярної шванноми)
Класифікація невриноми має важливе клінічне значення, оскільки тип пухлини, її розміри та локалізація безпосередньо впливають на вибір лікувальної тактики.
Найчастіше у клінічній практиці використовується декілька класифікаційних підходів.
Класифікація за перебігом захворювання
За характером росту виділяють:
- Повільно прогресуючу невриному. Такий тип пухлини росте дуже повільно і може тривалий час не викликати значних симптомів. У деяких випадках можливе спостереження без негайного лікування.
- Прогресуючу невриному. Для цього типу характерне поступове збільшення пухлини та посилення неврологічних симптомів. У таких випадках часто виникає необхідність активного лікування.
Класифікація за розмірами пухлини
Розміри невриноми є одним із ключових критеріїв вибору лікування.
- Маленькі пухлини (до 10 мм). Невринома обмежується внутрішнім слуховим проходом і може не викликати значних симптомів.
- Середні пухлини (10-25 мм). Пухлина виходить за межі слухового каналу і починає поширюватися у мостомозочковий кут.
- Великі пухлини (25-40 мм). Невринома викликає компресію мозочка та черепних нервів.
- Гігантські пухлини (понад 40 мм). У таких випадках виникає значний тиск на стовбур мозку та порушення циркуляції ліквору.
Класифікація за локалізацією
- Інтраканальні невриноми. Пухлина розташована лише у внутрішньому слуховому проході.
- Екстраканальні невриноми. Пухлина поширюється за межі слухового каналу у мостомозочковий кут.
- Змішані форми. Невринома займає як внутрішній слуховий канал, так і простір мостомозочкового кута.
Класифікація за морфологічними особливостями
- Антоні А тип. Для такого типу характерна щільна структура пухлини з компактним розташуванням клітин.
- Антоні B тип. Пухлина має більш пухку структуру з наявністю кістозних змін.
Морфологічний тип пухлини може впливати на її темп росту та реакцію на лікування.
Класифікація за ускладненнями
- Неускладнена невринома. Пухлина викликає лише локальні симптоми ураження черепних нервів.
- Ускладнена невринома. Пухлина призводить до компресії стовбура мозку, розвитку гідроцефалії або тяжких неврологічних порушень.
Клінічне значення класифікації полягає у тому, що вона допомагає визначити оптимальну тактику лікування та прогноз для пацієнта.
Діагностика невриноми (вестибулярної шванноми)
Першим етапом діагностики є аналіз скарг пацієнта та неврологічний огляд. Однобічне зниження слуху, стійкий шум у вусі або порушення рівноваги є підставою для підозри на ураження переддверно-завиткового нерва.
Методом вибору для підтвердження діагнозу є магнітно-резонансна томографія головного мозку з контрастуванням. МРТ дозволяє виявити навіть невеликі пухлини у внутрішньому слуховому проході та оцінити поширення невриноми у мостомозочковий кут. Дослідження також допомагає визначити компресію мозочка, стовбура мозку або інших черепних нервів.
У Центрі церебральної нейрохірургії лікарні ім. І. І. Мечникова магнітно-резонансна томографія виконується на апаратах 1,5 Тл та 3 Тл, що забезпечує високу точність візуалізації пухлин задньої черепної ямки.
Додатково можуть застосовуватися:
- Аудіометрія - дозволяє оцінити ступінь порушення слуху та характер ураження слухового нерва.
- Комп’ютерна томографія - допомагає оцінити анатомію кісткових структур внутрішнього слухового каналу та використовується при плануванні операції. У лікарні Мечникова КТ виконується на апараті Optima CT660 (GE Healthcare).
- Неврологічне та отоневрологічне обстеження - дозволяє оцінити функцію черепних нервів і ступінь неврологічного дефіциту.
Важливим етапом є диференційна діагностика. Симптоми невриноми можуть нагадувати інші захворювання, зокрема менінгіому мостомозочкового кута, метастатичні пухлини або запальні ураження слухового нерва. Саме тому остаточний діагноз встановлюється лише після нейровізуалізації.
Лікування невриноми (вестибулярної шванноми)
Лікування невриноми залежить від розміру пухлини, темпів її росту, віку пацієнта, наявності неврологічного дефіциту та загального стану організму. Основна мета лікування - усунути компресію нервових структур і запобігти прогресуванню неврологічних порушень.
У клінічній практиці застосовуються три основні підходи: спостереження, радіохірургія та хірургічне видалення пухлини.
Динамічне спостереження може бути рекомендоване при невеликих пухлинах, які не викликають виражених симптомів. У таких випадках пацієнту проводиться регулярне МРТ-обстеження для контролю росту пухлини. Така тактика дозволяє уникнути передчасного втручання, якщо пухлина тривалий час залишається стабільною.
Радіохірургічне лікування може застосовуватися при невеликих або середніх пухлинах. Метод спрямований на зупинку росту пухлини шляхом опромінення патологічних клітин. Радіохірургія використовується у випадках, коли хірургічне втручання пов’язане з підвищеним ризиком або коли необхідно зберегти функцію слухового нерва.
Хірургічне видалення пухлини є основним методом лікування при великих невриномах або при прогресуванні симптомів. Метою операції є максимально повне видалення пухлини з одночасним збереженням функції черепних нервів.
У Центрі церебральної нейрохірургії лікарні ім. І. І. Мечникова нейроонкологічні операції виконуються з використанням сучасних мікрохірургічних технологій. Під час втручань застосовуються операційні мікроскопи LEICA M530 OHX, OPMI VARIO 700 CARL ZEISS та MITAKA, що дозволяє працювати з високою точністю у складних анатомічних зонах.
Для підвищення безпеки операцій використовується нейронавігаційна система BRAIN LAB, яка допомагає нейрохірургу точно визначати межі пухлини та орієнтуватися у глибоких структурах мозку.
Обов’язковим елементом сучасних нейрохірургічних втручань у Центрі є інтраопераційний нейрофізіологічний моніторинг, який дозволяє контролювати функцію черепних нервів під час операції та знижувати ризик післяопераційних неврологічних ускладнень.
Після операції пацієнти перебувають під наглядом лікарів у спеціалізованому відділенні нейрореанімації, де забезпечується інтенсивний моніторинг стану у ранньому післяопераційному періоді.
Чим небезпечне зволікання з лікуванням
Невринома (вестибулярна шваннома) зазвичай росте повільно, але поступове збільшення пухлини призводить до прогресуючої компресії нервових структур. Саме тому навіть доброякісна пухлина може викликати серйозні неврологічні порушення.
Зволікання з лікуванням підвищує ризик незворотної втрати слуху. Тривале здавлення слухового нерва може призвести до стійкого порушення його функції, навіть після видалення пухлини.
При значному збільшенні невринома може стискати стовбур мозку та порушувати циркуляцію ліквору. Такий стан здатний призводити до внутрішньочерепної гіпертензії та потребує термінового нейрохірургічного лікування.
Від чого залежить прогноз при невриномі
Прогноз при невриномі (вестибулярній шванномі) залежить насамперед від розміру пухлини, ступеня ураження черепних нервів, швидкості росту пухлини та своєчасності лікування. Чим раніше виявлено пухлину, тим вищі шанси зберегти слух і запобігти розвитку неврологічних ускладнень.
Основними факторами, що впливають на прогноз, є:
- Розмір пухлини. Невриноми розміром до 20 мм зазвичай мають сприятливий прогноз. За даними клінічних досліджень, контроль росту пухлини після лікування досягається приблизно у 90-95% пацієнтів.
- Стан слуху до лікування. Якщо слух збережений на момент встановлення діагнозу, шанс його збереження після лікування може становити 50-70%, залежно від розміру пухлини та обраної методики лікування.
- Функція лицевого нерва. При сучасних мікрохірургічних втручаннях функцію лицевого нерва вдається зберегти приблизно у 85-95% пацієнтів, особливо при невеликих пухлинах.
- Ступінь компресії мозкових структур. Великі невриноми розміром понад 30-40 мм частіше спричиняють компресію стовбура мозку та мозочка, що ускладнює лікування і підвищує ризик неврологічного дефіциту.
Саме тому рання діагностика невриноми має вирішальне значення. Виявлення пухлини на ранніх етапах значно підвищує ймовірність збереження слуху, знижує ризик ураження черепних нервів і дозволяє обрати найбільш щадну тактику лікування.
Коли потрібно терміново звернутися до лікаря
Негайна консультація лікаря необхідна у випадках, коли з’являються симптоми, що можуть свідчити про ураження переддверно-завиткового нерва.
До таких симптомів належать:
- стійке однобічне зниження слуху;
- постійний шум у вусі;
- порушення рівноваги або нестійкість під час ходьби;
- оніміння або зниження чутливості обличчя;
- слабкість мімічних м’язів.
Такі симптоми не завжди означають наявність пухлини, але потребують обов’язкового обстеження.
Тож, невринома (вестибулярна шваннома) належить до пухлин, які можуть тривалий час розвиватися без виражених симптомів. Саме тому ключовим фактором успішного лікування є своєчасна діагностика.
У лікарні ім. І. І. Мечникова пацієнти з пухлинами головного мозку проходять повний цикл обстеження та лікування - від точної нейровізуалізації до сучасних мікрохірургічних операцій. Досвід команди нейрохірургів, використання нейронавігації, інтраопераційного нейромоніторингу та сучасного операційного обладнання дозволяють виконувати складні нейрохірургічні втручання з максимальною безпекою для пацієнта.
Якщо з’явилися симптоми порушення слуху, рівноваги або інші неврологічні прояви, важливо не відкладати консультацію. Своєчасне обстеження дозволяє виявити захворювання на ранній стадії та обрати оптимальну тактику лікування!


