Менінгіома
Менінгіома - це пухлина, що розвивається з клітин оболонок головного або спинного мозку. У більшості випадків вона має доброякісний характер і росте повільно, проте зі збільшенням розмірів може здавлювати мозкові структури та викликати неврологічні порушення. Менінгіоми становлять приблизно 30-40% усіх первинних пухлин головного мозку, тому належать до найпоширеніших внутрішньочерепних новоутворень. Через повільний ріст пухлина може тривалий час не викликати симптомів і часто виявляється випадково під час магнітно-резонансної томографії. Клінічні прояви менінгіоми визначаються насамперед локалізацією пухлини та ступенем компресії мозкових структур. Навіть невелике утворення може викликати головний біль, порушення зору, слабкість у кінцівках або зміни когнітивних функцій, якщо воно розташоване поруч із функціонально важливими зонами мозку.

Менінгіома - це пухлина, що формується з клітин павутинної (арахноїдальної) оболонки головного або спинного мозку і належить до позамозкових пухлин центральної нервової системи.
На відміну від внутрішньомозкових пухлин, менінгіома зазвичай росте поза тканиною мозку. Вона розташовується між оболонками мозку та внутрішньою поверхнею черепа і поступово збільшується, відтісняючи мозкову тканину.
У більшості випадків менінгіоми мають доброякісний характер і характеризуються повільним ростом. Проте навіть доброякісна менінгіома може становити клінічну проблему, якщо вона досягає значного розміру або розташована поруч із функціонально важливими структурами мозку.
Клінічний перебіг менінгіоми визначається її локалізацією, розмірами, ступенем компресії мозкових структур та взаємодією з венозними синусами і черепними нервами.
Думка експерта
Менінгіома формується з клітин павутинної оболонки мозку і зазвичай росте повільно. Основна клінічна проблема пов’язана не лише з наявністю пухлини, а з її взаємодією з навколишніми структурами.
У процесі росту пухлина поступово стискає тканину мозку, черепні нерви та судини. Це призводить до розвитку неврологічних симптомів - головного болю, епілептичних нападів, порушення рухів, чутливості або зору.
Найбільший ризик виникає тоді, коли пухлина розташована біля функціонально важливих зон мозку або венозних синусів твердої мозкової оболонки. У таких ситуаціях навіть пухлина невеликого розміру може викликати значні неврологічні порушення.
Саме тому при виявленні менінгіоми важливо своєчасно оцінити її локалізацію, темпи росту та взаємодію з мозковими структурами. Це дозволяє визначити оптимальну тактику лікування та зменшити ризик неврологічних ускладнень.
Механізм розвитку менінгіоми
Менінгіома розвивається з арахноїдальних клітин павутинної оболонки, які розташовані вздовж твердої мозкової оболонки та венозних синусів. Саме в цих ділянках найчастіше формуються пухлинні вузли. У результаті генетичних змін частина клітин павутинної оболонки втрачає контроль над процесом поділу. Це призводить до поступового формування пухлинного вузла, який повільно збільшується.
На відміну від злоякісних внутрішньомозкових пухлин, менінгіома зазвичай росте експансивно - вона не проростає тканину мозку, а поступово стискає її ззовні. Однак тривала компресія мозкових структур може призводити до порушення їх функції.
Зі збільшенням пухлини виникає кілька патологічних механізмів. По-перше, відбувається механічне здавлення мозкової тканини. По-друге, порушується венозний відтік і локальна перфузія мозку. По-третє, формується перифокальний набряк мозкової тканини.
Ці процеси поступово призводять до розвитку неврологічних симптомів. Наприклад, при локалізації менінгіоми у лобових частках можуть виникати когнітивні та поведінкові зміни. Пухлини скроневої ділянки можуть спричиняти епілептичні напади. Менінгіоми задньої черепної ямки можуть порушувати координацію рухів і функцію черепних нервів.
Саме взаємодія пухлини з навколишніми структурами мозку визначає клінічну картину захворювання та складність нейрохірургічного лікування.

Причини розвитку менінгіоми
Точна причина виникнення менінгіоми не завжди може бути встановлена. У більшості випадків розвиток пухлини пов’язаний із поєднанням генетичних факторів і зовнішніх впливів.
До найбільш відомих факторів ризику належать:
- Генетичні порушення. Найчастіше виявляється мутація гена NF2, який бере участь у регуляції клітинного росту. Порушення цього механізму може призводити до неконтрольованого поділу арахноїдальних клітин.
- Вік. Менінгіоми частіше діагностуються у людей старше 40-50 років. Це пов’язано з накопиченням генетичних змін у клітинах мозкових оболонок.
- Гормональні фактори. У жінок менінгіоми зустрічаються частіше. У клітинах пухлини часто виявляються рецептори до прогестерону, що може впливати на ріст новоутворення.
- Попереднє опромінення голови. Променева терапія в ділянці голови може підвищувати ризик розвитку менінгіом через пошкодження ДНК клітин.
- Нейрофіброматоз другого типу. Це спадкове генетичне захворювання значно підвищує ризик розвитку менінгіом та інших пухлин нервової системи.
Наявність одного або кількох факторів ризику не означає обов’язкового розвитку пухлини. Однак при їх наявності зростає ймовірність формування менінгіоми та потреба у регулярному медичному контролі.
Симптоми менінгіоми
Клінічні прояви менінгіоми визначаються насамперед локалізацією пухлини, її розмірами та ступенем компресії мозкових структур. Оскільки менінгіоми зазвичай ростуть повільно, симптоми можуть формуватися поступово протягом місяців або навіть років.
На ранніх етапах захворювання прояви можуть бути неспецифічними. Пацієнти часто пов’язують їх із перевтомою, стресом або віковими змінами. При збільшенні пухлини відбувається компресія мозкової тканини, порушується локальний кровообіг і формується перифокальний набряк. Саме ці процеси поступово призводять до розвитку неврологічних симптомів.
Найбільш характерні прояви менінгіоми включають:
- Головний біль. Один із найчастіших симптомів. Він виникає через підвищення внутрішньочерепного тиску та подразнення мозкових оболонок.
- Епілептичні напади. Можуть бути першим проявом захворювання, особливо при розташуванні пухлини у корі великих півкуль. Напади виникають через подразнення нейронів у ділянці компресії мозкової тканини.
- Порушення зору. Виникають, коли пухлина здавлює зорові нерви або структури зорових шляхів. Це може проявлятися звуженням полів зору, двоїнням або поступовим зниженням гостроти зору.
- Слабкість у кінцівках. Компресія моторної кори або провідних шляхів мозку може призводити до розвитку парезів або порушення координації рухів.
- Порушення чутливості. У деяких пацієнтів з’являється оніміння, поколювання або зниження чутливості в окремих ділянках тіла.
- Когнітивні та поведінкові зміни. Менінгіоми лобових часток можуть викликати зміни поведінки, зниження концентрації уваги, порушення пам’яті або апатію.
- Порушення координації. Пухлини задньої черепної ямки можуть впливати на мозочок і викликати нестійкість під час ходьби, запаморочення або порушення рівноваги.
У деяких випадках симптоми з’являються лише тоді, коли пухлина досягає значного розміру. Саме тому менінгіоми іноді виявляються випадково під час проведення МРТ або КТ головного мозку з іншої причини.
Небезпечними проявами можуть бути раптове погіршення неврологічного стану, різке посилення головного болю, повторні епілептичні напади або швидке прогресування слабкості в кінцівках. У таких ситуаціях необхідна термінова консультація лікаря.
Класифікація менінгіом
Класифікація менінгіом має важливе клінічне значення, оскільки біологічна поведінка пухлини, її локалізація та ступінь агресивності визначають тактику лікування і прогноз захворювання. У нейрохірургічній практиці менінгіоми оцінюються за кількома ключовими критеріями.
Класифікація за ступенем злоякісності (WHO)
Відповідно до класифікації Всесвітньої організації охорони здоров’я менінгіоми поділяють на три основні ступені.
Менінгіома I ступеня (доброякісна)
Це найбільш поширений тип пухлини. Такі менінгіоми характеризуються повільним ростом і чіткими межами. Близько 80–90% усіх менінгіом належать саме до цього типу і мають відносно сприятливий прогноз після хірургічного лікування.
Менінгіома II ступеня (атипова)
Ці пухлини мають більш агресивний біологічний характер. Для них характерна підвищена клітинна проліферація, швидший ріст та значно вищий ризик рецидиву після операції.
Менінгіома III ступеня (анапластична або злоякісна)
Це найбільш рідкісний і агресивний варіант пухлини. Такі менінгіоми характеризуються швидким ростом, інфільтративним поширенням і високою ймовірністю повторного виникнення.
Гістологічний тип остаточно визначається під час патоморфологічного дослідження після видалення пухлини.
Класифікація за локалізацією
Локалізація пухлини є одним із ключових факторів, що впливають на клінічні прояви та складність нейрохірургічного втручання.
Найчастіше зустрічаються:
- конвекситальні менінгіоми - розташовані на поверхні великих півкуль мозку;
- парасагітальні менінгіоми - формуються вздовж верхнього сагітального синуса;
- менінгіоми основи черепа - розташовані біля черепних нервів і великих судин;
- менінгіоми задньої черепної ямки - можуть впливати на мозочок і стовбур мозку.
Саме локалізація пухлини значною мірою визначає клінічні симптоми та технічну складність операції.
Класифікація за клінічним перебігом
За клінічним перебігом менінгіоми можуть мати різний характер розвитку.
Безсимптомні менінгіоми
Такі пухлини часто виявляються випадково під час проведення МРТ або КТ. У деяких випадках можливе динамічне спостереження без негайного хірургічного втручання.
Симптомні менінгіоми
Супроводжуються неврологічними проявами, які виникають через компресію мозкових структур.
Менінгіоми з прогресуючим неврологічним дефіцитом
У таких випадках спостерігається поступове погіршення неврологічного стану, що зазвичай потребує активного лікування.
Класифікація за ускладненнями
У процесі росту менінгіома може призводити до розвитку різних ускладнень, які впливають на клінічний перебіг захворювання.
До найбільш поширених ускладнень належать:
- перифокальний набряк мозкової тканини;
- компресія венозних синусів твердої мозкової оболонки;
- епілептичні напади;
- прогресуючий неврологічний дефіцит;
- порушення ліквороциркуляції та розвиток гідроцефалії.
Саме поєднання гістологічного типу пухлини, її локалізації та клінічних проявів дозволяє нейрохірургу визначити оптимальну тактику лікування та оцінити прогноз захворювання.
Діагностика менінгіоми
Діагностика менінгіоми ґрунтується на поєднанні неврологічного огляду та методів нейровізуалізації, які дозволяють визначити локалізацію пухлини, її розміри та вплив на навколишні структури мозку.
Під час первинної консультації лікар оцінює неврологічний статус пацієнта: функцію черепних нервів, силу та чутливість у кінцівках, координацію рухів і когнітивні функції. Неврологічні порушення допомагають припустити можливу локалізацію патологічного процесу.
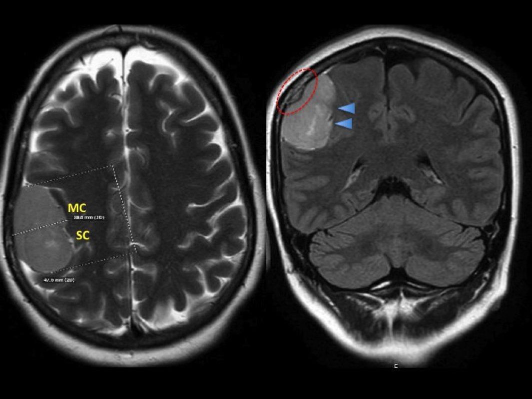
Методом вибору для діагностики менінгіоми є магнітно-резонансна томографія (МРТ) головного мозку з контрастуванням. МРТ дозволяє точно визначити межі пухлини, ступінь компресії мозкової тканини та взаємодію новоутворення з судинами або черепними нервами.
Додатково може застосовуватися комп’ютерна томографія (КТ), яка допомагає оцінити стан кісток черепа та наявність кальцифікацій у пухлині.
У складних випадках, коли пухлина розташована поруч із великими судинами або венозними синусами, проводиться церебральна ангіографія, що дозволяє оцінити особливості кровопостачання пухлини.
Важливо розуміти, що виявлення менінгіоми на МРТ саме по собі не є показанням до операції. Тактика лікування визначається з урахуванням симптомів, локалізації пухлини, її розмірів та динаміки росту.
Лікування менінгіоми
Тактика лікування менінгіоми визначається локалізацією пухлини, її розмірами, біологічною поведінкою та клінічними проявами. У кожному випадку рішення приймається індивідуально після аналізу результатів нейровізуалізації та неврологічного стану пацієнта.
У деяких ситуаціях можливе динамічне спостереження. Така тактика застосовується при невеликих безсимптомних менінгіомах, які не демонструють ознак росту. У таких випадках проводиться регулярний контроль МРТ.
Основним методом лікування симптомних менінгіом є хірургічне видалення пухлини.
Показаннями до операції є:
- поява або прогресування неврологічних симптомів;
- збільшення розмірів пухлини;
- компресія мозкових структур;
- ознаки внутрішньочерепної гіпертензії.
Метою операції є максимально повне видалення менінгіоми при збереженні функціонально важливих структур мозку. Обсяг втручання залежить від локалізації пухлини та її взаємодії з судинами, венозними синусами або черепними нервами.
У Центрі церебральної нейрохірургії лікарні ім. І. І. Мечникова під час таких операцій застосовуються сучасні мікрохірургічні технології. Втручання виконуються з використанням операційних мікроскопів Leica та Carl Zeiss, що дозволяє працювати з високою точністю.
Для підвищення безпеки операцій використовується нейронавігаційна система BrainLab, яка допомагає точно визначити межі пухлини та її взаємодію з мозковими структурами.
Під час інтракраніальних операцій також застосовується інтраопераційний нейрофізіологічний моніторинг, який дозволяє контролювати функцію нервових шляхів у режимі реального часу та зменшити ризик неврологічних ускладнень.
У складних випадках, коли пухлина розташована поруч із життєво важливими структурами мозку або великими судинами, може виконуватися часткове видалення пухлини з подальшим контролем її росту.
Результат лікування залежить від кількох факторів: локалізації менінгіоми, її гістологічного типу, повноти видалення пухлини та загального стану пацієнта.
Від чого залежить прогноз
Прогноз при менінгіомі залежить від гістологічного типу пухлини, її локалізації та повноти хірургічного видалення.
Більшість менінгіом належать до доброякісних пухлин і після радикального видалення мають сприятливий прогноз. Водночас атипові та злоякісні менінгіоми можуть мати більш агресивний перебіг і потребувати додаткового лікування.
Коли потрібно терміново звернутися до лікаря
Негайна консультація лікаря необхідна у випадках:
- різкого посилення головного болю;
- появи судомних нападів;
- раптового погіршення зору;
- швидкого розвитку слабкості в кінцівках.
Такі симптоми можуть свідчити про значну компресію мозкових структур або прогресування пухлини.
У Центрі церебральної нейрохірургії лікарні ім. І. І. Мечникова пацієнти проходять комплексну оцінку неврологічного стану та сучасну нейровізуалізаційну діагностику, що дозволяє точно встановити причину симптомів і визначити оптимальну тактику лікування. Наші лікарі мають великий досвід у лікуванні пухлин головного мозку та застосовують сучасні мікрохірургічні технології, які дозволяють виконувати складні нейрохірургічні втручання максимально точно та безпечно.
Ми розуміємо, що будь-який діагноз, пов’язаний із пухлинами головного мозку, викликає тривогу та багато запитань. Саме тому під час консультації лікар детально пояснює результати обстеження, можливі варіанти лікування та допомагає прийняти зважене рішення щодо подальших дій.
Чим раніше встановлено діагноз і визначено правильну тактику лікування, тим більше можливостей для повного відновлення та повернення до активного життя. Не відкладайте консультацію - ми поруч, щоб допомогти вам зберегти здоров’я і впевненість у майбутньому!


