Гліома
Гліома головного мозку може проявлятися постійним головним болем, нападами судом, порушенням пам’яті, змінами поведінки або слабкістю у кінцівках. Саме з такими симптомами пацієнти найчастіше звертаються до лікаря. Гліома може розвиватися поступово, тому на ранніх етапах прояви захворювання часто залишаються непоміченими. Пацієнти іноді пов’язують головний біль або втому зі стресом чи перевтомою, хоча ці симптоми можуть бути першими ознаками внутрішньочерепного пухлинного процесу. З ростом гліома починає впливати на роботу мозкових структур. Пухлинна тканина може здавлювати або інфільтрувати ділянки мозку, що призводить до появи неврологічних порушень.

Центр церебральної нейрохірургії лікарні ім. І. І. Мечникова працює з найскладнішими випадками нейроонкології та нейротравм.
Середній обсяг втручань - близько 1300 операцій на рік, з яких 44,4% - ургентні та 55,6% - планові.
Центр забезпечує ургентні чергування 24/7/365 і приймає пацієнтів у критичному стані при всіх видах нейрохірургічної патології.
Пацієнти у важкому стані та пацієнти в ранньому післяопераційному періоді лікуються у відділенні нейрореанімації (ВРАІТ No 2).
У Центрі працюють 8 нейрохірургів, 4 - з вищою кваліфікаційною категорією, і всі лікарі пройшли спеціалізацію з нейроонкології, а 3 нейрохірурги мають стаж понад 25 років.
У Центрі використовуються операційні мікроскопи експертного рівня (LEICA M530 OHX, CARL ZEISS) та система нейронавігації BRAIN LAB, що підвищує точність нейрохірургічних втручань. Діагностика проводиться цілодобово на сучасному КТ і МРТ-обладнанні, а інтраопераційний нейрофізіологічний моніторинг дозволяє контролювати функції мозку під час операції.
Гліома - це пухлина центральної нервової системи, що формується з гліальних клітин головного або спинного мозку. Гліальні клітини виконують підтримувальну функцію для нейронів, забезпечують їх живлення, захист та стабільність нервової тканини.
Коли у гліальних клітинах виникають генетичні порушення, вони починають неконтрольовано ділитися. У результаті формується пухлинна тканина гліоми, яка поступово змінює структуру мозку та може порушувати роботу нервових центрів.
Гліоми можуть значно відрізнятися за біологічними властивостями. Частина гліом росте повільно, інші мають агресивний перебіг і швидко прогресують. Тип гліоми, її локалізація та ступінь злоякісності визначають клінічний перебіг захворювання та можливості лікування.
Думка експерта
Гліома формується з клітин нейроглії, які у нормі підтримують роботу нейронів і забезпечують стабільність нервової тканини. Генетичні порушення у цих клітинах призводять до втрати контролю над клітинним поділом і формування пухлинної тканини.
У міру росту гліома впливає на навколишні мозкові структури. Навіть відносно невелика пухлина може викликати виражені неврологічні симптоми, якщо вона розташована у функціонально важливій зоні мозку.
Основний ризик гліоми полягає у поступовому прогресуванні пухлинного процесу. Тривале здавлення або інфільтрація мозкових тканин можуть призводити до стійких порушень руху, мовлення або когнітивних функцій.
Саме тому при появі судом, стійкого головного болю або неврологічних симптомів важливо своєчасно пройти обстеження. Рання діагностика дозволяє визначити тип гліоми та обрати найбільш ефективну тактику лікування.
Механізм розвитку гліоми
Гліома виникає внаслідок порушення механізмів контролю клітинного поділу у гліальних клітинах. У нормі клітини нейроглії регулюють мікросередовище нервової тканини, підтримують нейрони та беруть участь у захисті мозку.
Під впливом генетичних мутацій гліальні клітини втрачають контроль над процесом поділу. У результаті формується пухлинна популяція клітин гліоми, яка поступово збільшується та змінює структуру нервової тканини.
Багато гліом характеризуються інфільтративним ростом. Інфільтративний ріст означає, що пухлинні клітини гліоми проникають у навколишню нервову тканину та поширюються між нормальними структурами мозку. Така особливість значно ускладнює повне хірургічне видалення пухлини.
У міру росту гліома може викликати підвищення внутрішньочерепного тиску, здавлення мозкових центрів і порушення передачі нервових імпульсів. Саме ці механізми лежать в основі появи неврологічних симптомів.

Причини розвитку гліоми
Точна причина розвитку більшості гліом залишається невідомою. Сучасні дослідження показують, що гліома формується внаслідок накопичення генетичних змін у клітинах нейроглії.
До факторів, які можуть підвищувати ризик розвитку гліоми, належать:
- Генетичні мутації. Порушення у генах, що контролюють клітинний поділ, можуть призводити до неконтрольованого росту клітин гліоми.
- Спадкові синдроми. Деякі генетичні захворювання пов’язані з підвищеним ризиком пухлин центральної нервової системи.
- Іонізуюче випромінювання. Вплив радіації може пошкоджувати ДНК клітин і запускати пухлинний процес.
- Порушення клітинної регуляції. Зміни у сигнальних механізмах росту клітин можуть сприяти формуванню пухлинної тканини.
У більшості пацієнтів гліома виникає без чітко визначеного провокуючого фактору. Саме тому важливу роль відіграє раннє виявлення захворювання при появі неврологічних симптомів.
Симптоми гліоми
Симптоми гліоми залежать від розміру пухлини, швидкості її росту та локалізації в мозку. Ранні прояви часто неспецифічні, тому пацієнти можуть тривалий час не пов’язувати їх із пухлинним процесом.
Одним із найпоширеніших симптомів гліоми є головний біль. Він виникає через підвищення внутрішньочерепного тиску або подразнення мозкових оболонок пухлинною тканиною. З ростом гліоми біль може ставати більш інтенсивним і частим.
Судомні напади також є характерним проявом гліоми. Пухлинна тканина змінює електричну активність нейронів, що може призводити до виникнення епілептичних нападів навіть у людей без попереднього неврологічного анамнезу.
Порушення рухів або слабкість у кінцівках можуть виникати, якщо гліома розташована у моторних зонах мозку. Здавлення або інфільтрація цих ділянок призводить до зниження сили м’язів і порушення координації.
Гліома також може викликати порушення мовлення, пам’яті або поведінки. Такі симптоми з’являються, коли пухлина впливає на ділянки мозку, що відповідають за когнітивні функції.
У деяких випадках гліома проявляється порушенням зору або рівноваги. Подібні симптоми виникають, якщо пухлина розташована поблизу зорових шляхів або структур мозочка.
Прогресування гліоми може призводити до поступового погіршення неврологічного стану. Саме тому поява нових неврологічних симптомів або їх посилення потребує негайної консультації лікаря.
Класифікація гліом
Класифікація гліом базується на типі клітин, ступені злоякісності, локалізації пухлини та особливостях її клінічного перебігу. Розуміння типу гліоми має ключове значення для вибору тактики лікування та прогнозу захворювання.
Класифікація гліом за типом клітин
За походженням пухлинних клітин гліоми поділяються на кілька основних типів:
- Астроцитоми. Астроцитоми формуються з астроцитів - клітин нейроглії, що підтримують структуру нервової тканини. До астроцитарних пухлин належать різні форми гліом, зокрема дифузні астроцитоми, анапластичні астроцитоми та гліобластома - найбільш агресивний варіант гліальної пухлини.
- Олігодендрогліоми. Олігодендрогліоми виникають з клітин, які формують мієлінову оболонку нервових волокон. Такі пухлини часто характеризуються відносно повільним ростом.
- Епендимоми. Епендимоми формуються з клітин епендими, що вистилають шлуночкову систему мозку та центральний канал спинного мозку.
Класифікація гліом за ступенем злоякісності
Ступінь злоякісності гліоми визначає швидкість росту пухлини та її клінічну агресивність.
- I ступінь. Пухлини низького ступеня злоякісності характеризуються повільним ростом і можуть тривалий час залишатися стабільними.
- II ступінь. Гліоми другого ступеня мають більш активний ріст і з часом можуть трансформуватися у більш агресивні форми.
- III ступінь. Гліоми високого ступеня злоякісності характеризуються швидким ростом та інфільтрацією мозкової тканини.
- IV ступінь. Найбільш агресивною формою є гліобластома - пухлина з швидким прогресуванням та високим ризиком неврологічних ускладнень.
Класифікація гліом за локалізацією
Локалізація гліоми суттєво впливає на клінічні прояви захворювання.
Гліоми можуть розташовуватися у лобових, скроневих, тім’яних або потиличних частках мозку. Кожна локалізація пов’язана з характерними неврологічними симптомами, що залежать від функцій відповідної ділянки мозку.
Гліоми також можуть виникати у структурах мозочка, стовбура мозку або спинного мозку. Такі пухлини можуть викликати порушення координації, рівноваги або життєво важливих функцій.
Класифікація гліом за перебігом захворювання
За клінічним перебігом гліоми поділяються на повільно прогресуючі та агресивні форми.
Повільно прогресуючі гліоми можуть тривалий час залишатися стабільними та проявлятися помірними симптомами. Агресивні гліоми характеризуються швидким ростом, інфільтрацією мозкових структур і швидким погіршенням неврологічного стану.
Тип гліоми, ступінь злоякісності та локалізація пухлини разом формують клінічну картину захворювання та визначають подальшу тактику лікування.
Діагностика гліоми
Діагностика гліоми базується на поєднанні клінічного огляду, нейровізуалізації та морфологічного підтвердження пухлини. Основною метою обстеження є визначення локалізації гліоми, її розмірів, ступеня поширення та біологічних особливостей.
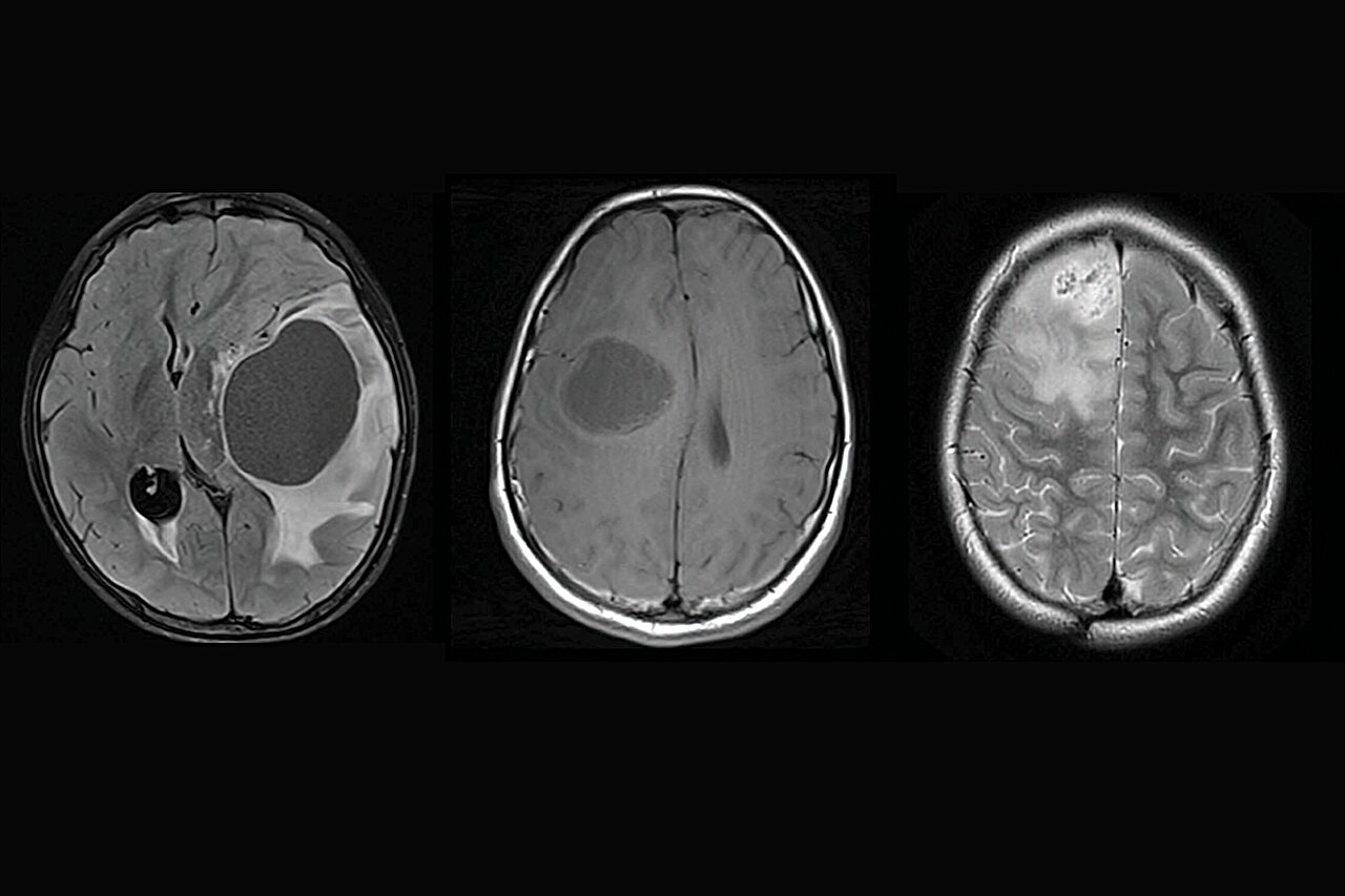
Методом вибору для діагностики гліоми є магнітно-резонансна томографія головного мозку. МРТ дозволяє детально оцінити структуру мозкових тканин, визначити межі пухлини та виявити ознаки інфільтрації навколишніх структур.
Комп’ютерна томографія може використовуватися як додатковий метод обстеження, особливо у невідкладних ситуаціях. КТ дозволяє швидко виявити об’ємне утворення мозку та оцінити наявність набряку або зміщення мозкових структур.
Остаточне підтвердження типу гліоми здійснюється за допомогою гістологічного дослідження пухлинної тканини. Морфологічний аналіз дозволяє визначити тип клітин, ступінь злоякісності пухлини та молекулярні особливості гліоми.
Диференційна діагностика гліоми проводиться з іншими внутрішньочерепними пухлинами, метастатичними ураженнями мозку та деякими запальними процесами. Точне встановлення діагнозу є ключовим фактором для вибору правильної тактики лікування.
Лікування гліоми
Лікування гліоми залежить від типу пухлини, ступеня її злоякісності, локалізації та загального стану пацієнта. Основною метою лікування є максимальне видалення пухлинної тканини, збереження функцій мозку та контроль подальшого росту гліоми.
У лікарні ім. І. І. Мечникова тактика лікування гліоми визначається мультидисциплінарною командою лікарів. Нейрохірурги, неврологи та рентгенологи спільно аналізують результати обстеження, щоб обрати оптимальну стратегію лікування для кожного пацієнта.
Основним методом лікування більшості гліом є хірургічне втручання. Під час операції нейрохірурги прагнуть максимально видалити пухлинну тканину, одночасно зберігаючи функціонально важливі структури мозку. Такий підхід дозволяє зменшити пухлинну масу та створити умови для подальшого ефективного лікування.
У випадках, коли гліома має інфільтративний ріст або розташована у функціонально важливих ділянках мозку, повне видалення пухлини може бути неможливим. У таких ситуаціях лікування доповнюється променевою терапією або медикаментозними методами, спрямованими на пригнічення росту пухлинних клітин.
Досвід нейрохірургів нашої лікарні дозволяє підбирати тактику лікування з урахуванням анатомічних особливостей пухлини та неврологічного стану пацієнта. Комплексний підхід до лікування гліоми дає можливість контролювати перебіг захворювання та максимально зберігати якість життя пацієнтів.
Чим небезпечне зволікання
Гліома може поступово збільшуватися та впливати на функціонально важливі структури мозку. З ростом пухлина може викликати стійкі неврологічні порушення, які з часом можуть ставати незворотними.
Раннє звернення до лікаря дозволяє виявити гліому на етапі, коли можливості лікування є значно ширшими. Саме тому поява судом, стійкого головного болю або інших неврологічних симптомів потребує медичного обстеження.
Коли потрібно терміново звернутися до лікаря
Негайна консультація лікаря необхідна у випадках появи судомних нападів, раптової слабкості у кінцівках або різкого погіршення зору. Подібні симптоми можуть свідчити про ураження мозкових структур.
Термінове обстеження також необхідне при швидкому посиленні головного болю або появі порушень мовлення, пам’яті чи координації. Своєчасна діагностика дозволяє швидше встановити причину симптомів та розпочати лікування.
Тож, гліома є складним захворюванням центральної нервової системи, яке потребує своєчасної діагностики та комплексного лікування. Тип пухлини, її локалізація та біологічні особливості визначають перебіг захворювання і можливості терапії.
При появі стійкого головного болю, судом або інших неврологічних симптомів важливо не відкладати консультацію лікаря. У лікарні ім. І. І. Мечникова пацієнти можуть пройти сучасну діагностику та отримати якісну сучасну допомогу фахівців з великим досвідом лікування складних нейрохірургічних захворювань.


