Черепно-мозкова травма
Черепно-мозкова травма належить до найбільш поширених і водночас найбільш небезпечних ушкоджень нервової системи. Вона виникає внаслідок механічного впливу на голову та може призводити як до короткочасних неврологічних порушень, так і до тяжкого ушкодження мозкових структур. У клінічній практиці черепно-мозкова травма є однією з основних причин ургентних нейрохірургічних втручань. Особливу небезпеку становлять внутрішньочерепні крововиливи, набряк мозку та компресія життєво важливих центрів. У Центрі церебральної нейрохірургії лікарні ім. І. І. Мечникова накопичений великий досвід лікування нейротравми. Наші фахівці працюють з усіма видами травматичних ушкоджень мозку - від забоїв і внутрішньочерепних гематом до складних проникаючих та мінно-вибухових поранень.

Черепно-мозкова травма - це ушкодження головного мозку, яке виникає внаслідок механічної дії на череп і супроводжується структурними або функціональними порушеннями нервової системи.
Черепно-мозкова травма може проявлятися струсом мозку, забоєм мозкової тканини, внутрішньочерепними крововиливами, переломами кісток черепа або проникаючими ушкодженнями. Клінічні прояви залежать від сили травмуючого фактора, локалізації ураження та ступеня пошкодження мозкових структур.
прямого або непрямого механічного впливу на голову та супроводжується ушкодженням мозкової тканини, судин або оболонок мозку.
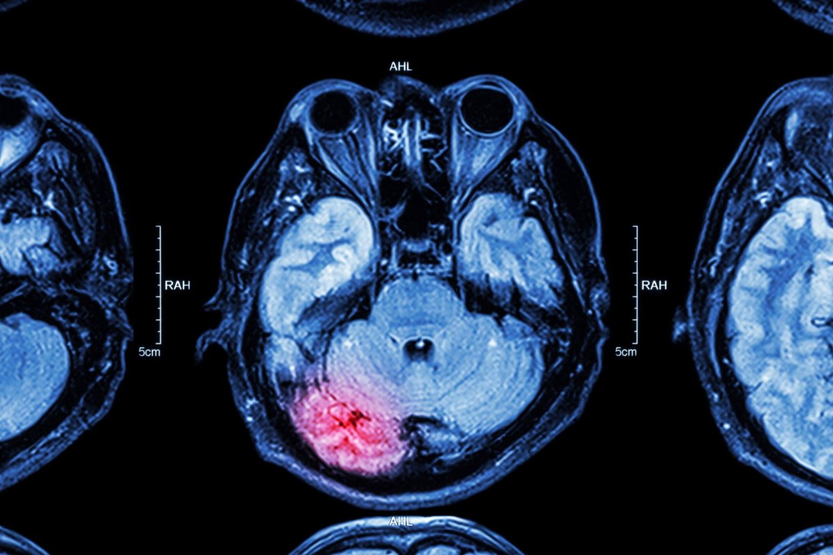
різних типів внутрішньочерепних крововиливів, зокрема епідуральних, субдуральних і внутрішньомозкових гематом.
ургентних нейрохірургічних втручань через ризик швидкого здавлення мозкових структур.
вторинні патологічні процеси - набряк мозку, підвищення внутрішньочерепного тиску та порушення мозкового кровообігу.
раннє виявлення внутрішньочерепних уражень дозволяє запобігти тяжким неврологічним ускладненням.
Думка експерта
Черепно-мозкова травма небезпечна не лише самим фактом механічного ушкодження мозку, а й розвитком вторинних патологічних процесів. Після травми у тканинах мозку можуть формуватися крововиливи, набряк або порушення мозкового кровообігу, що поступово призводить до зростання внутрішньочерепного тиску.
Збільшення внутрішньочерепного тиску створює компресію життєво важливих структур мозку - стовбура мозку, центрів дихання та серцевої діяльності. Саме цей механізм часто стає причиною різкого погіршення стану пацієнта через кілька годин після травми.
Ризик полягає в тому, що зовнішні прояви травми можуть бути мінімальними, тоді як внутрішньочерепна гематома продовжує збільшуватися. Саме тому навіть при відносно легкому ударі голови необхідна медична оцінка стану пацієнта.
Оптимальною тактикою є раннє проведення комп'ютерної томографії та спостереження лікаря, що дозволяє своєчасно виявити небезпечні ускладнення і прийняти рішення щодо подальшого лікування.
Механізм розвитку черепно-мозкової травми

Черепно-мозкова травма розвивається внаслідок передачі механічної енергії від зовнішнього удару до кісток черепа та мозкової тканини. При цьому ушкодження виникає не лише у точці прямого удару, а й у протилежній ділянці мозку через ефект інерції.
Під час різкого прискорення або гальмування голови мозок зміщується всередині черепної порожнини. Таке зміщення призводить до розтягнення нервових волокон, ушкодження судин і формування вогнищ забою мозку.
Одночасно можуть розриватися внутрішньочерепні судини, що призводить до накопичення крові між оболонками мозку або всередині мозкової тканини. Формування епідуральних, субдуральних або внутрішньомозкових гематом створює додатковий об'єм у замкнутій порожнині черепа.
Оскільки череп є жорсткою структурою, навіть невелике збільшення внутрішньочерепного об'єму призводить до підвищення внутрішньочерепного тиску. Це викликає компресію мозкових структур, порушення мозкового кровообігу та погіршення постачання мозку киснем.
При тяжких формах травми може виникати дифузне аксональне ушкодження - розрив численних нервових волокон у різних відділах мозку. Такий механізм є однією з основних причин тривалої втрати свідомості та тяжкого неврологічного дефіциту після травми.
Саме поєднання первинного механічного ушкодження та вторинних патологічних процесів визначає тяжкість перебігу черепно-мозкової травми та прогноз для пацієнта.
Причини черепно-мозкової травми
Черепно-мозкова травма виникає внаслідок дії зовнішньої механічної сили, яка передається на кістки черепа і мозкову тканину. Таке ушкодження може бути результатом прямого удару по голові, різкого прискорення або гальмування тіла, падіння, дорожньо-транспортної пригоди чи дії вибухової хвилі.
Механізм виникнення травми має велике клінічне значення, оскільки тип впливу визначає характер ушкодження мозку. При прямому ударі частіше виникають локальні забої мозкової тканини та переломи кісток черепа. При різкому прискоренні або гальмуванні можливе дифузне ушкодження нервових волокон, яке призводить до тяжких порушень функцій мозку навіть без видимих структурних змін.
У клінічній практиці найбільш поширеними причинами травматичного ушкодження мозку є:
- Дорожньо-транспортні пригоди. При різкому гальмуванні або зіткненні голова зазнає значних інерційних навантажень, що може призводити до забою мозку, дифузного аксонального ушкодження або внутрішньочерепних крововиливів.
- Падіння з висоти або падіння на тверду поверхню. У таких ситуаціях часто виникають переломи кісток черепа та забої мозкової тканини різного ступеня тяжкості.
- Побутові травми. Удар головою об тверді предмети або поверхні може призводити як до легких форм травми, так і до утворення внутрішньочерепних гематом.
- Спортивні травми. Контактні види спорту або падіння під час фізичної активності можуть спричиняти струс мозку, забій мозку або травматичні ушкодження судин.
- Бойові та мінно-вибухові поранення. Вибухова хвиля та уламкові поранення викликають складні комбіновані ушкодження мозку, які часто супроводжуються проникаючими пораненнями черепа та масивними внутрішньочерепними крововиливами.
Центр церебральної нейрохірургії лікарні ім. І. І. Мечникова має значний досвід лікування складних травматичних ушкоджень мозку, включно з проникаючими та мінно-вибуховими пораненнями. За роки роботи фахівці центру виконали операції тисячам пацієнтів з бойовими черепно-мозковими травмами.
Симптоми черепно-мозкової травми
Симптоми черепно-мозкової травми залежать від сили травмуючого впливу, локалізації ушкодження мозку та швидкості розвитку внутрішньочерепних ускладнень. Клінічні прояви можуть виникати одразу після травми або прогресувати протягом кількох годин.
Одним із найчастіших симптомів є порушення свідомості. Воно може проявлятися короткочасною втратою свідомості, оглушенням, сплутаністю або розвитком коми при тяжких ушкодженнях мозку.
Головний біль є типовим проявом травматичного ушкодження мозку. Його виникнення пов'язане з подразненням оболонок мозку, розвитком набряку або підвищенням внутрішньочерепного тиску.
Нудота та блювання також є поширеними симптомами. Вони виникають через подразнення центрів головного мозку, які відповідають за регуляцію вегетативних функцій.
Запаморочення та порушення рівноваги можуть бути пов'язані з ушкодженням вестибулярних структур мозку або порушенням роботи мозочка.
При формуванні внутрішньочерепних гематом можуть з'являтися осередкові неврологічні симптоми. До таких проявів належать слабкість у кінцівках, порушення мовлення, асиметрія обличчя або порушення зору.
Небезпечним симптомом є прогресуюче погіршення стану пацієнта після періоду відносного благополуччя. Така ситуація часто спостерігається при епідуральних або субдуральних гематомах, коли об'єм крововиливу поступово збільшується і починає здавлювати мозкові структури.
Класифікація черепно-мозкової травми
Черепно-мозкова травма є неоднорідною групою ушкоджень, які відрізняються за механізмом виникнення, характером ураження мозкових структур та тяжкістю перебігу. Саме тому у клінічній практиці використовується розширена класифікація, яка допомагає визначити тактику лікування та прогноз для пацієнта.
Класифікація за ступенем тяжкості
За тяжкістю перебігу черепно-мозкова травма поділяється на легку, середньої тяжкості та тяжку.
- Легка форма найчастіше представлена струсом мозку або незначним забоєм мозкової тканини. Такі ушкодження зазвичай супроводжуються короткочасною втратою свідомості або її порушенням без стійкого неврологічного дефіциту.
- Травма середньої тяжкості характеризується більш вираженим ушкодженням мозкових структур. У таких випадках можуть формуватися забої мозку, внутрішньочерепні гематоми або переломи кісток черепа.
- Тяжка черепно-мозкова травма супроводжується значним ушкодженням мозку, тривалою втратою свідомості, розвитком коми та високим ризиком життєво небезпечних ускладнень.
Класифікація за характером ушкодження
За характером ушкодження виділяють закриту та відкриту черепно-мозкову травму.
- Закрита травма виникає без порушення цілісності шкіри та кісток черепа. У таких випадках ушкодження мозку відбувається внаслідок удару або різкого переміщення мозкової тканини всередині черепа.
- Відкрита черепно-мозкова травма супроводжується порушенням цілісності кісток черепа та оболонок мозку. Такі ушкодження можуть призводити до проникнення інфекції та розвитку тяжких ускладнень.
Класифікація за локалізацією ураження
За локалізацією патологічного процесу виділяють кілька основних типів травматичних ушкоджень:
- забій мозку;
- епідуральні гематоми;
- гострі субдуральні гематоми;
- внутрішньомозкові крововиливи;
- хронічні субдуральні гематоми;
- втиснені переломи кісток черепа;
- проникаючі поранення мозку.
Кожен із цих типів ушкоджень має свої клінічні особливості, різний механізм розвитку та потребує індивідуального підходу до лікування.
Діагностика черепно-мозкової травми
Обстеження пацієнта починається з клінічної оцінки стану свідомості, неврологічного статусу та життєво важливих функцій. Для об'єктивної оцінки тяжкості травми широко використовується шкала коми Глазго, яка дозволяє визначити ступінь порушення свідомості та прогнозувати перебіг захворювання.
Методом вибору для первинної діагностики черепно-мозкової травми є комп'ютерна томографія головного мозку. Дослідження дозволяє швидко виявити внутрішньочерепні гематоми, забої мозкової тканини, переломи кісток черепа та ознаки компресії мозкових структур.
Магнітно-резонансна томографія використовується для детальнішої оцінки ушкоджень мозкової тканини, зокрема при підозрі на дифузне аксональне ушкодження або невеликі внутрішньомозкові крововиливи.
У Центрі церебральної нейрохірургії лікарні ім. І. І. Мечникова для діагностики нейротравми використовуються сучасні методи нейровізуалізації. Комп'ютерна томографія виконується на апараті Optima CT660 GE Healthcare, а магнітно-резонансна томографія - на апаратах Toshiba Excelart Vantage 1,5 Т та МРТ 3 Тл. У складних випадках застосовується селективна церебральна ангіографія на ангіографічній системі Innova IGS 540. Діагностичні дослідження доступні у режимі 24/7, що дозволяє швидко приймати рішення щодо лікування пацієнтів з тяжкою нейротравмою.
Лікування черепно-мозкової травми
Тактика лікування черепно-мозкової травми залежить від характеру ушкодження мозку, наявності внутрішньочерепних крововиливів, ступеня неврологічного дефіциту та загального стану пацієнта. Основною метою лікування є стабілізація життєво важливих функцій, запобігання вторинному ушкодженню мозку та усунення структурних причин компресії мозкових тканин.
У легких випадках лікування може бути консервативним і включати спостереження, контроль внутрішньочерепного тиску та симптоматичну терапію. Важливим є динамічне спостереження за пацієнтом, оскільки стан може змінюватися в перші години після травми.
Хірургічне лікування необхідне у ситуаціях, коли внутрішньочерепні гематоми або інші патологічні утворення призводять до компресії мозкових структур. До основних показань для операції належать:
- епідуральні та субдуральні гематоми;
- великі внутрішньомозкові крововиливи;
- втиснені переломи кісток черепа;
- проникаючі поранення мозку;
- швидке погіршення неврологічного стану пацієнта.
У Центрі церебральної нейрохірургії лікарні ім. І. І. Мечникова виконуються всі основні види оперативних втручань при травматичних ушкодженнях мозку. До них належать трепанація черепа, евакуація внутрішньочерепних гематом, малоінвазивне дренування хронічних субдуральних гематом, а також реконструктивні операції при післятравматичних дефектах черепа.
Для відновлення цілісності кісток черепа можуть використовуватися сучасні індивідуальні імпланти, виготовлені на основі стереолітографічних моделей. У реконструктивній нейрохірургії застосовуються матеріали титан, PEEK та гідроксиапатит, які дозволяють відновити анатомію черепа та захистити мозкові структури.
Під час складних операцій використовується мікрохірургічна техніка та сучасне нейрохірургічне обладнання. У нейрохірургічних операційних центру працюють операційні мікроскопи LEICA M530 OHX, OPMI VARIO 700 CARL ZEISS та MITAKA, а для підвищення безпеки втручань застосовується нейронавігаційна система Brainlab та інтраопераційний нейрофізіологічний моніторинг.
Пацієнти у тяжкому стані після операцій перебувають під наглядом лікарів у відділенні нейрореанімації, де здійснюється цілодобовий моніторинг життєво важливих функцій та інтенсивна терапія.
Коли потрібно терміново звернутися до лікаря
Після травми голови необхідно негайно звернутися за медичною допомогою, якщо з'являються симптоми, які можуть свідчити про ушкодження мозку.
Небезпечними ознаками є втрата свідомості, прогресуючий головний біль, повторне блювання, судомні напади, слабкість у кінцівках або порушення мовлення.
Особливо небезпечним є погіршення стану пацієнта через кілька годин після травми. Такий перебіг може свідчити про формування внутрішньочерепної гематоми, яка поступово здавлює мозкові структури.
У подібних ситуаціях своєчасне звернення до лікаря дозволяє швидко провести діагностику та запобігти розвитку тяжких неврологічних ускладнень.
Тож, черепно-мозкова травма є складною нейрохірургічною патологією, яка потребує швидкої діагностики та правильної тактики лікування. У Центрі церебральної нейрохірургії лікарні ім. І. І. Мечникова пацієнти отримують високоспеціалізовану допомогу при всіх видах нейротравми, включно з найбільш складними випадками.
Досвід команди нейрохірургів, сучасне обладнання та цілодобова готовність до ургентних втручань дозволяють надавати допомогу пацієнтам навіть у критичних ситуаціях. Не відкладайте консультацію - своєчасна медична допомога може зберегти здоров'я і життя!


