Коронографія
Серце — головний мотор нашого організму, і від стану його судин залежить якість життя кожної людини. Коронарографія — це найточніший метод діагностики, який дозволяє побачити коронарні артерії «зсередини» та оцінити, наскільки добре вони пропускають кров. У лікарні ім. І.І. Мечникова ця процедура виконується на сучасному обладнанні та дає можливість не лише встановити точний діагноз, а й за потреби одразу провести лікування.


Якщо пацієнт скаржиться на біль у грудях, відчуття стискання чи печіння за грудиною, задишку під час фізичного навантаження, лікар може запідозрити порушення кровотоку у коронарних артеріях.

Перед аортокоронарним шунтуванням чи встановленням стенту обов’язково проводиться коронарографія, щоб точно знати, які судини уражені і яку тактику лікування обрати.

Пацієнтам, які вже перенесли стентування чи шунтування, процедура допомагає оцінити стан артерій і переконатися, що все працює правильно.

Буває, що ЕКГ або УЗД серця показують відхилення, але їхня причина не зрозуміла. Коронарографія у такому разі дає остаточну відповідь.
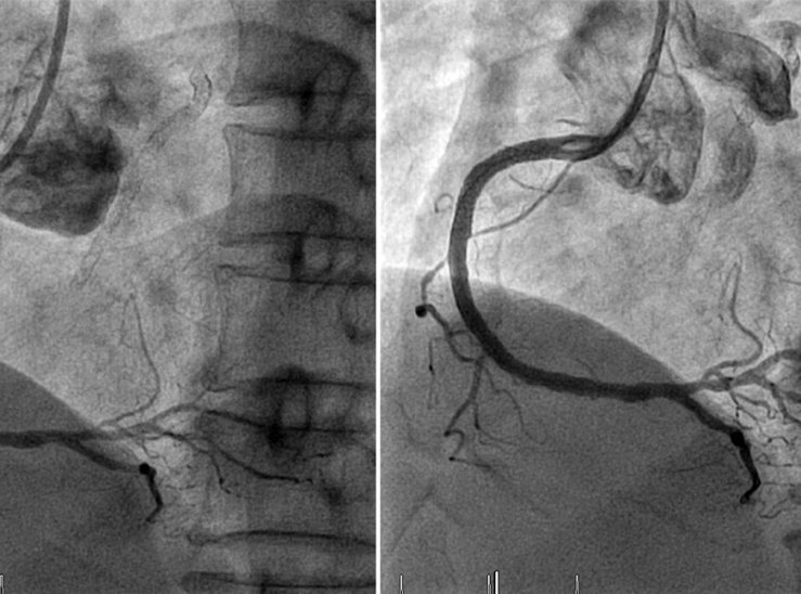
Коронарографія — це рентгенологічне дослідження судин серця. Через невеликий прокол у стегновій чи променевій артерії вводять тонкий катетер, який підводять до коронарних судин. Далі через нього подається контрастна речовина, і під контролем ангіографа лікар бачить повний малюнок артерій на екрані.
Цей метод вважається «золотим стандартом» у діагностиці ішемічної хвороби серця. Жодне інше дослідження — ні ЕКГ, ні УЗД, ні навіть комп’ютерна томографія — не дає настільки повної та достовірної інформації.

Міфи про коронарографію:
- «Це небезпечно». Насправді ризики мінімальні, процедура вважається однією з найбезпечніших у кардіології.
- «Це дуже боляче». Пацієнт перебуває у свідомості, але відчуває лише легкий дискомфорт у місці проколу.
- «Після цього довго відновлюються». Більшість пацієнтів уже наступного дня повертаються до звичного життя.


Ангіографи високої роздільної здатності дозволяють побачити навіть мінімальні зміни у судинах.

Процедуру виконують рентген-ендоваскулярні хірурги та кардіологи з багаторічним досвідом.

Якщо під час дослідження виявлено критичне звуження, лікар може одразу провести стентування. Це економить час і рятує життя.

Усе — від діагностики до повного лікувального маршруту — можна пройти в одному закладі.
Думка експерта
Гриневич Олександр Олександрович, відділення інтервенційної кардіології лікарні ім. Мечникова: «Коронарографія — це єдиний метод, який дозволяє лікарю побачити справжню картину стану коронарних артерій. Вона дає не припущення, а факти. Саме завдяки їй ми можемо обрати оптимальну тактику: медикаментозне лікування, стентування чи шунтування. Найголовніше — не зволікати, адже ішемічна хвороба серця може роками протікати приховано, а ускладнення виникають раптово».
Як підготуватися до коронарографії
Перед процедурою пацієнт проходить базові аналізи крові, ЕКГ та консультацію кардіолога. За кілька годин до обстеження рекомендують не їсти та не пити. Якщо людина приймає постійні ліки, лікар заздалегідь пояснить, які з них потрібно залишити, а які тимчасово скасувати.
У лікарні ім. Мечникова пацієнтам надають повну інформацію про перебіг процедури, що знімає тривогу та дозволяє почуватися впевненіше.
Як проходить процедура
Пацієнт розташовується на спеціальному столі в ангіографічному залі. Після місцевого знеболення лікар робить прокол у стегновій або променевій артерії та вводить катетер. Уся маніпуляція відбувається під рентген-контролем.
Рекомендації після процедури
- Пити більше рідини, щоб швидше вивести контраст із організму.
- У перші дні уникати важких фізичних навантажень.
- Стежити за місцем проколу — при набряку чи почервонінні негайно звернутися до лікаря.
- Регулярно контролювати артеріальний тиск і рівень холестерину.
Що дає пацієнту коронарографія
Точний діагноз.
Коронарографія дозволяє побачити стан коронарних судин у найдрібніших деталях. Лікар отримує чітку відповідь: де саме є звуження, наскільки воно серйозне і чи потребує негайного втручання. Це знімає всі сумніви, які можуть залишатися після інших обстежень.
Запобігання інфаркту.
Багато пацієнтів навіть не підозрюють, що їхні артерії вже критично звужені. Коронарографія виявляє ці зміни ще до того, як вони призведуть до інфаркту. Це шанс вчасно провести лікування і уникнути небезпечних ускладнень.
Вибір правильних ліків.
Лікар може оцінити, чи достатньо буде медикаментозної терапії, чи потрібно проводити інтервенційне втручання. Такий індивідуальний підхід зменшує ризик неефективного лікування та підвищує шанси на покращення якості життя.
Визначення потреби в операції.
Коронарографія показує, коли медикаментозне лікування вже не допоможе і потрібне стентування чи аортокоронарне шунтування. Завдяки цьому лікар може своєчасно скерувати пацієнта на операцію, а не чекати розвитку ускладнень.
Контроль після лікування.
Процедура допомагає перевірити, як працюють встановлені стенти або шунти, і чи не виникли повторні звуження. Це дозволяє підтримувати результат на довгі роки.
Поради після процедури
Особливу увагу варто приділяти способу життя: збалансоване харчування, контроль ваги, відмова від куріння, регулярні фізичні навантаження. Коронарографія — це лише перший крок, а подальший результат залежить від самого пацієнта.
Коронарографія у лікарні ім. І.І. Мечникова — це не просто діагностика, а комплексна допомога пацієнту: від виявлення проблеми до її вирішення. Ми поєднуємо сучасні технології, досвід лікарів і турботу про комфорт кожного пацієнта. Не відкладайте обстеження — запишіться на коронарографію вже сьогодні та подбайте про здоров’я свого серця!



