Кавернома головного мозку
Кавернома головного мозку - це один із тих діагнозів, який найчастіше з’являється не через симптоми, а раптово - у висновку МРТ. Ще вчора людина не знала про його існування, а сьогодні вже змушена шукати відповідь на запитання: наскільки це небезпечно. Каверноми виявляються приблизно у 0.5–1% населення, однак у більшості випадків залишаються безсимптомними. Вони можуть роками не проявлятися і залишатися стабільними. Але в окремих випадках саме кавенорма стає причиною судомних нападів або неврологічних порушень через повторні мікрокрововиливи. У Центрі судинної нейрохірургії лікарні ім. І. І. Мечникова накопичений досвід ведення пацієнтів із різними формами судинних утворень головного мозку, включаючи каверноми різної локалізації та складності.

Кавернома головного мозку - це судинне утворення, яке складається з патологічно змінених розширених судинних порожнин, заповнених кров’ю та відокремлених одна від одної тонкими перегородками.
На відміну від нормальних судин, стінки каверноми не мають повноцінної структури, що робить їх більш вразливими до мікрокрововиливів.
Кавернома не має повноцінного кровотоку як артеріовенозні мальформації, але може періодично кровоточити, що призводить до подразнення навколишніх тканин мозку.









Думка експерта
ГРИГОРУК Сергій Петрович, завідувач центру судинної нейрохірургії:
Кавернома - це не пухлина в класичному розумінні, але і не "безпечна знахідка", яку можна завжди ігнорувати. У своїй практиці ми часто бачимо пацієнтів, у яких вона тривалий час не проявляється, а потім раптово починає давати симптоми. Найчастіше це або судомні напади, або неврологічні порушення, пов’язані з мікрокрововиливами. Саме тому після виявлення каверноми важливо не лише зафіксувати факт її наявності, а й зрозуміти, як вона поводиться.
Ми оцінюємо локалізацію утворення, його розміри, клінічні прояви та динаміку. У частини пацієнтів достатньо спостереження, але якщо є симптоми або ознаки крововиливу - питання лікування стає актуальним.
Важливо пояснити пацієнту, що рішення завжди індивідуальне. І наша задача - не просто "видалити утворення", а обрати тактику, яка буде максимально безпечною і виправданою саме в його ситуації.
Механізм формування каверноми
Кавернома формується як результат порушення розвитку судинної системи або змін судинної стінки.
У її основі лежить утворення патологічних судинних порожнин, які не мають нормальної м’язової та еластичної структури. Це призводить до того, що судини втрачають здатність стабільно витримувати навантаження.
У таких порожнинах відбувається повільний рух крові, що створює умови для мікрокрововиливів. З часом продукти розпаду крові накопичуються в тканинах мозку, викликаючи подразнення нервових структур.
Саме це пояснює появу симптомів, зокрема судомних нападів або локальних неврологічних порушень.
Види каверном головного мозку
Каверноми класифікують за локалізацією та кількістю, оскільки саме ці параметри визначають клінічні прояви та підходи до лікування.
За локалізацією:
- супратенторіальні - розташовані в півкулях головного мозку, найчастіше проявляються судомними нападами;
- інфратенторіальні - локалізуються в мозочку або стовбурі мозку, частіше викликають неврологічний дефіцит;
- стовбурові - окрема група з підвищеним ризиком ускладнень через критичну анатомію.
Локалізація визначає не лише симптоми, а й ризик крововиливу та можливість безпечного хірургічного втручання.
За кількістю:
- поодинокі - найчастіший варіант;
- множинні - можуть бути пов’язані зі спадковими формами захворювання.
Множинні каверноми частіше мають генетичну природу і потребують більш ретельного спостереження.
Причини розвитку каверноми
Каверноми можуть бути як вродженими, так і набутими.
Основою їх формування є порушення структури судинної стінки, що призводить до утворення патологічних судинних порожнин.
До можливих причин належать:
- генетичні мутації (при сімейних формах);
- порушення розвитку судинної системи;
- перенесені крововиливи або судинні зміни (рідше).
У більшості випадків точну причину встановити неможливо, але ключову роль відіграє саме вроджена слабкість судин.
Фактори ризику
Існують фактори, які можуть впливати на клінічний перебіг каверноми:
- наявність попередніх крововиливів - якщо кавернома вже кровоточила, ризик повторного крововиливу значно зростає;
- локалізація в стовбурі мозку - навіть невеликі крововиливи в цій зоні можуть викликати виражені неврологічні порушення;
- множинні каверноми - свідчать про системний характер процесу і підвищують загальний ризик ускладнень;
- генетична форма захворювання - пов’язана з більшою ймовірністю появи нових утворень і їх активності.
Це означає, що за наявності таких факторів лікар більш уважно оцінює стан пацієнта і частіше розглядає питання активного лікування, а не лише спостереження.
Симптоми каверноми головного мозку
Клінічні прояви залежать від локалізації каверноми та наявності крововиливів.
Безсимптомний перебіг
У значної частини пацієнтів кавернома не викликає жодних проявів і виявляється випадково.
Симптомна кавернома
Найчастіші прояви:
- судомні напади;
- головний біль;
- слабкість у кінцівках;
- порушення чутливості;
- порушення координації;
- порушення мовлення або зору.
Симптоми виникають унаслідок подразнення або ураження навколишніх тканин мозку.
Кавернома з крововиливом
При крововиливі симптоми виникають раптово та можуть прогресувати:
- різкий головний біль;
- нудота та блювання;
- порушення свідомості;
- неврологічний дефіцит.
Клінічна картина залежить від локалізації крововиливу та його об’єму.
Діагностика каверноми головного мозку
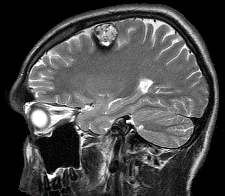
Основним методом діагностики каверноми є магнітно-резонансна томографія.
Саме МРТ дозволяє виявити утворення, оцінити його структуру, розміри та ознаки перенесених крововиливів. Для каверноми характерна специфічна картина - так званий "попкорн-ефект": утворення має неоднорідну структуру через наявність крові та продуктів її розпаду на різних стадіях, що створює мозаїчний вигляд на зображенні.
Комп’ютерна томографія використовується переважно при підозрі на гострий крововилив.
У нашому Центрі судинної нейрохірургії обстеження проводиться в умовах повної діагностичної доступності 24/7, що особливо важливо при підозрі на крововилив. Це дозволяє без затримок перейти від встановлення діагнозу до визначення оптимальної тактики лікування.
Лікування каверноми головного мозку
У частини пацієнтів кавернома може залишатися стабільною і не потребувати активного втручання. У таких випадках застосовується динамічне спостереження з регулярним контролем МРТ.
Хірургічне лікування розглядається у випадках, коли ризик ускладнень перевищує ризик операції.
Основні показання до оперативного втручання:
- повторні крововиливи з каверноми;
- наявність симптомів, що прогресують;
- фармакорезистентні судомні напади;
- поверхневе або доступне для видалення розташування утворення.
Метою операції є повне видалення каверноми разом із зміненими тканинами, які можуть бути джерелом крововиливів або епілептичної активності.
У Центрі судинної нейрохірургії лікарні ім. І. І. Мечникова оперативні втручання виконуються з використанням сучасного мікрохірургічного обладнання (операційні мікроскопи Leica та Carl Zeiss),що забезпечує високу точність роботи з мозковими структурами.
При локалізації каверноми поблизу функціонально важливих зон застосовується нейронавігація Brainlab та інтраопераційний нейрофізіологічний моніторинг. Це дозволяє контролювати функції нервової системи під час операції та мінімізувати ризик неврологічного дефіциту.
Важливо, що лікування проводиться із залученням мультидисциплінарної команди з можливістю цілодобового доступу до КТ, МРТ та ангіографії. Це має критичне значення у випадках крововиливу, коли рішення потрібно приймати без затримок.
Після операції пацієнти перебувають під наглядом у нейрореанімації, де забезпечується контроль життєво важливих функцій та раннє виявлення можливих ускладнень.
Як записатися на консультацію
Якщо у вас вже виявлено каверному або є симптоми, які можуть на неї вказувати - важливо не відкладати обстеження. У лікарні ім. І. І. Мечникова консультація нейрохірурга проводиться після попереднього обстеження та отримання результатів МРТ.
Для запису на консультацію необхідно мати електронне направлення від сімейного лікаря. Якщо у вас немає власного сімейного лікаря, у лікарні працює відділення додаткової медичної допомоги, де можна підписати декларацію та отримати направлення.
Без електронного направлення консультацію можна отримати на платній основі відповідно до прейскуранту.
Не відкладайте звернення - своєчасна оцінка стану дозволяє уникнути ускладнень та обрати оптимальну тактику лікування!


