Флюорографія
Флюорографія — це одне з найпоширеніших та найшвидших обстежень у медицині, яке дозволяє перевірити стан легень і грудної клітки. Для багатьох пацієнтів вона здається просто формальністю для довідки на роботу чи навчання. Насправді ж цей знімок здатен виявити серйозні захворювання ще до того, як вони дадуть перші симптоми. Сьогодні використовується цифрова флюорографія — сучасна технологія, яка суттєво відрізняється від старих плівкових методів.

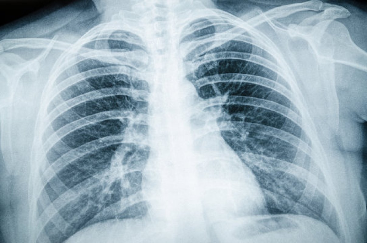
Цифрова флюорографія — це різновид рентген-обстеження грудної клітки, коли зображення отримують і обробляють у цифровому форматі. На відміну від старої плівкової технології, цифрові системи дають більш чітку картинку при меншій дозі випромінювання. Лікарі одразу бачать знімок на екрані, можуть збільшити фрагменти, підкрутити контраст, порівняти з попередніми дослідженнями — усе це підвищує точність висновку.
Простими словами, це «розумний рентген легень», який робиться швидко, зручно та безпечно.

Раз на рік флюорографія дозволяє впевнитися, що у легенях немає небезпечних змін — зокрема туберкульозу чи новоутворень. Якщо ж зміни присутні, вони будуть помічені на самому початку, коли лікування дає найкращий результат.

Для працевлаштування, навчання чи отримання санітарної книжки потрібне підтвердження відсутності активних легеневих хвороб. Цифрова флюорографія дає швидкий і офіційний результат.

Тривалий кашель, задишка, біль у грудях, підвищена температура без видимих причин — привід перевірити легені негайно. Флюорографія допомагає зрозуміти, куди рухатися далі — чи потрібні аналізи, рентген, КТ чи консультації суміжних спеціалістів.

Після пневмонії, COVID-19, операцій на грудній клітці або при хронічних захворюваннях (бронхіт, астма) флюорографія дає об’єктивну картину відновлення та відповідає на запитання: «Чи все загоїлося як слід?».

Куріння, робота у запиленому середовищі, часті контакти з великою кількістю людей (медики, вчителі, працівники харчування/сфери послуг) підвищують імовірність проблем з легенями. Регулярна флюорографія — розумна профілактика у таких умовах.

Наші рентгенологи щодня працюють із цифровими протоколами, вміють помічати малопомітні зміни і чітко пояснюють результати пацієнтові. Це знижує тривогу і допомагає швидко прийняти рішення.

Цифрові детектори з високою чутливістю дають контрастну, деталізовану картинку. Для вас це означає точніший висновок при нижчому навантаженні.

Ми працюємо за протоколами, що оптимізують дозу без втрати інформативності. Кожна експозиція — лише настільки інтенсивна, наскільки потрібно для якісного діагностичного знімка.

Організовано зручний маршрут: швидка реєстрація, доброзичливий персонал, зрозумілі інструкції. За потреби можна поєднати кілька обстежень за один візит та отримати консультацію профільного спеціаліста.
Думка експерта
«Флюорографія — це не «галочка» в довідці, а дієвий інструмент профілактики. Саме завдяки їй ми часто виявляємо зміни, коли людина ще почувається здоровою. Раннє виявлення суттєво спрощує лікування і зберігає якість життя. Раджу не пропускати щорічний контроль і приходити одразу, якщо з’явилися симптоми», — лікар-рентгенолог, вища категорія.
Симптоми, які варто сприймати серйозно
- Кашель понад два тижні (навіть без температури).
- Задишка або відчуття нестачі повітря під час звичних справ.
- Біль або тиск у грудях, особливо якщо посилюється при вдиху.
- Періодична або тривала субфебрильна температура без зрозумілих причин.
- Несподівана втрата ваги, слабкість, пітливість вночі.
Кашель понад два тижні. Коли кашель не минає, це може бути ознакою затяжного запального процесу. Флюорографія допомагає відрізнити «просту застуду» від змін, які потребують уваги.
Задишка при звичних навантаженнях. Якщо підіймання сходами чи прогулянка стали важчими, ніж зазвичай, варто перевірити стан легень і серця. Знімок грудної клітки — перший крок.
Біль/тиск у грудях. Такі скарги можуть мати різні причини — від м’язового напруження до запалення плеври. Флюорографія допомагає побачити, чи є зміни у легенях або оболонках легень.
Субфебрильна температура. Тривала «невисока» температура часто сигналізує про повільний запальний процес. Знімок дозволяє швидко зорієнтуватися, чи джерело — у легенях.
Втрата ваги, слабкість, пітливість. Поєднання цих симптомів може бути ознакою інфекційного або пухлинного процесу. Рання візуалізація дуже важлива.
Як саме ми діагностуємо у лікарні ім. Мечникова
У нашій лікарні цифрова флюорографія входить у єдиний діагностичний маршрут пацієнта. Це означає, що від реєстрації до отримання висновку все відбувається швидко та логічно.
Сучасні цифрові детектори забезпечують високу роздільну здатність зображення при оптимально низькій дозі. Знімки зберігаються в електронній системі (PACS),що дозволяє порівнювати динаміку за роки. Якщо лікар бачить нюанси, які потребують уточнення, він оперативно рекомендує додаткові методи (рентген у двох проєкціях, КТ, аналізи) та допомагає узгодити маршрут консультацій.
Ми робимо акцент на якісному описі: висновок пише досвідчений рентгенолог, за потреби застосовується «друге читання» колегою. Пацієнт отримує не просто знімок, а зрозумілу інтерпретацію і короткі рекомендації щодо подальших дій.
Як проходить цифрова флюорографія: крок за кроком
Підготовка проста: спеціальної дієти не потрібно. Бажано принести попередні знімки/висновки, щоб лікар міг порівняти. Перед входом у кабінет зніміть металеві прикраси та аксесуари з ділянки грудної клітки — вони можуть давати «тінь» на зображенні.
У кабінеті лаборант попросить стати обличчям або спиною до панелі апарата, зробити глибокий вдих і затримати дихання на 1–2 секунди. Саме у цей момент виконується експозиція — короткий імпульс випромінювання, який і формує зображення. Болю чи дискомфорту немає: усе відбувається буквально за мить.
Після цього лікар перевіряє якість кадру, і ви повертаєтесь до звичного ритму. Загальний час візиту — 5–10 хвилин, висновок зазвичай готовий у той самий день.
Безпека, променеве навантаження та обмеження
Цифрова флюорографія — низькодозовий метод. Для дорослої людини це безпечно в рамках медичних стандартів. Якщо ви можете бути вагітною, обов’язково скажіть про це перед обстеженням — у такому разі лікар обере іншу тактику або відкладе процедуру, якщо вона не є невідкладною.
Лактація не є абсолютним протипоказанням, але так само варто повідомити про неї персонал. Якщо у вас кардіостимулятор, імпланти чи попередні операції, повідомте лікаря — це допоможе правильно інтерпретувати знімок.
Рекомендації після флюорографії: що робити далі
- Зберігайте висновок. Електронний файл та короткий висновок рентгенолога можуть знадобитися для динамічного порівняння. Це допоможе лікарю відстежувати зміни у перспективі.
- Дотримуйтесь рекомендацій. Якщо у висновку радять КТ, рентген чи консультацію пульмонолога — не відкладайте. Рання діагностика завжди простіша за пізнє лікування.
- Плануйте наступний контроль. Для більшості дорослих — раз на рік. Якщо ви маєте фактори ризику або хронічні захворювання, лікар може запропонувати інший інтервал.
- Працюйте з ризиками. Найбільший внесок у здоров’я легень — відмова від куріння. Ми підкажемо, з чого почати і які програми підтримки існують.
Чому пацієнти обирають саме нас
Коли ви приходите на цифрову флюорографію до лікарні ім. Мечникова, ви отримуєте не «уривок процесу», а логічно вибудовану допомогу: точний знімок, пояснення простою мовою, за потреби — маршрут додаткових обстежень і консультацій. Ми за те, щоб пацієнт не губився в термінах, а чітко розумів, що відбувається і навіщо.
Флюорографія — це кілька хвилин вашого часу і великий внесок у безпеку. Якщо настав час планового контролю, якщо потрібна довідка або з’явилися симптоми — зверніться до лікарні ім. Мечникова. Ми швидко, уважно і професійно допоможемо пройти флюорографію легень та за потреби сплануємо наступні кроки.